Langley Teeth Whitening
safe, affordable, and effective teeth whitening in Langley – administered by dental professionals
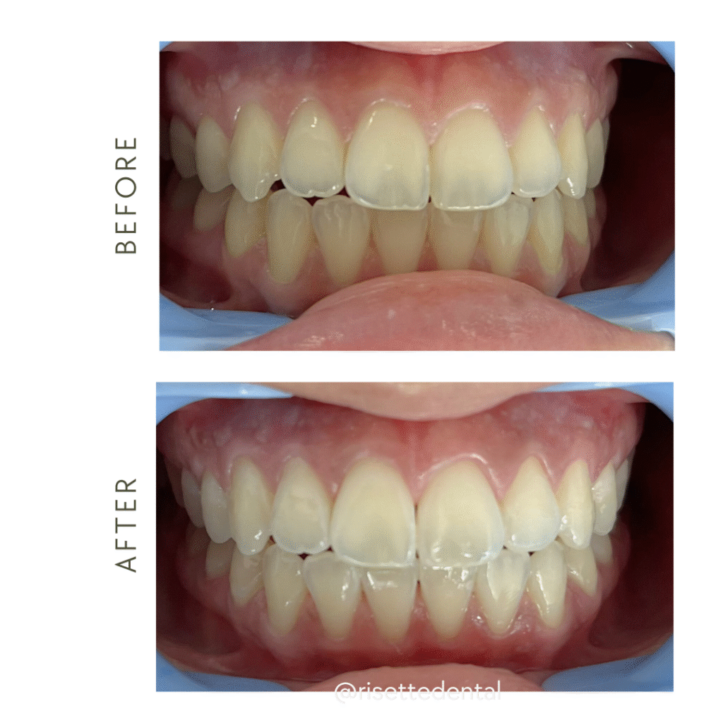
We offer LED Laser teeth whitening, using dental-grade peroxide products that effectively yet gently remove discolouration and stains. Far superior to over the counter at-home treatment options, our in-office whitening in Langley achieves significant results with minimal discomfort in a little over an hour of your time.
At Risette, we offer the lowest-priced professional teeth whitening in Langley! Compared to beauty salons, we have access to more potent products and equipment. Get desirable results under the care and expertise of a dental hygienist—at a fraction of the cost compared to other clinics. We even price match*!
*whitening treatment must be same or similar to be eligible for price match.
What to Expect
the prep steps
Teeth are polished to remove surface stains.
A paint-on dam is applied to seal and protect gum tissue, while cotton, cheek retractors, and vitamin E protect lips and cheeks for a more comfortable experience.
the whitening
We carefully apply on a 44% carbamide and hydrogen peroxide gel to tooth surfaces, taking care to reach all the nooks and crannies for even, beautiful results! Our gels are vegan, gluten-free, and enamel-safe.
An LED light activates the solution, lifting stains and discolouration.
the results
Enjoy a refreshed and brightened smile!
Depending on hygiene and habits, results are long lasting. If needed, touch-up appointments are also available to keep your smile bright and brilliant.
Touch-up Whitening (60 min) must be booked within one year of Initial Whitening (90 min) to qualify for pricing.
results to SMile About

















